Trang 163 đưa tin, kết quả khám nghiệm thi thể diễn viên Từ Hy Viên đã được công bố, xác định nguyên nhân chính dẫn đến cái chết của cô là virus cúm A tấn công hệ thống hô hấp, khiến bệnh tình diễn tiến nghiêm trọng hơn.

Hồ sơ bệnh án của Từ Hy Viên cũng bị rò rỉ, hé lộ những diễn biến sức khỏe của cô trước khi qua đời. Theo đó, khi nhập viện tại thị trấn Hakone, tỉnh Kanagawa (Nhật Bản), nữ diễn viên đã có dấu hiệu suy hô hấp với nồng độ oxy trong máu chỉ còn 89% (trong khi mức bình thường khoảng 95%).
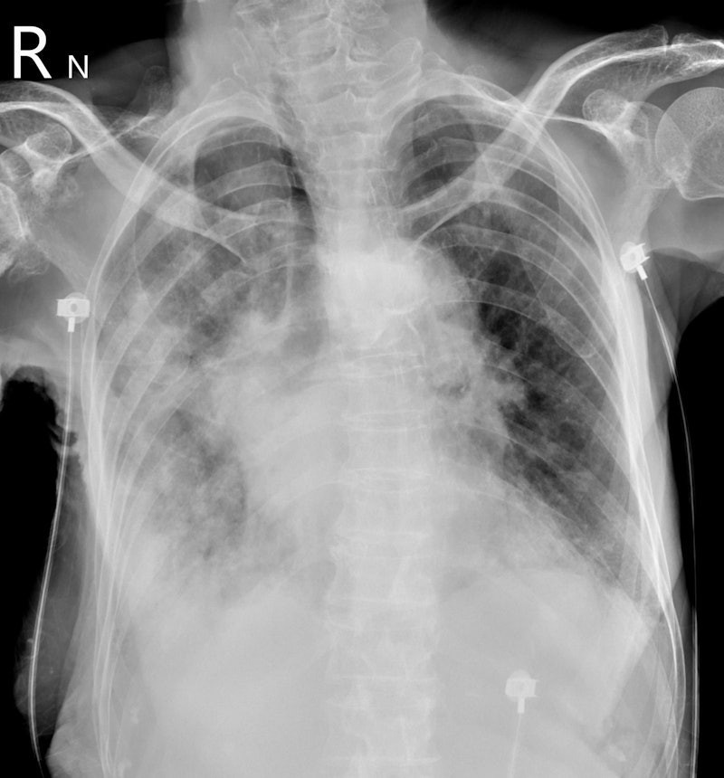
Bên cạnh đó, nhiều thông tin cho biết, khi tình trạng của Từ Hy Viên trở nặng, kết quả chụp CT cho thấy cả hai lá phổi của Từ Hy Viên đã trắng xóa. Không lâu sau, cô trút hơi thở cuối cùng.
Ngày 5/2, bác sĩ Tô Nhất Phong, chuyên khoa lồng ngực tại chi nhánh Dương Minh của Bệnh viện Thống nhất thành phố Đài Bắc (Đài Loan, Trung Quốc), giải thích rõ hơn về tình trạng "lá phổi trắng" của nữ diễn viên xấu số.
Theo bác sĩ này, "phổi trắng xóa" thực chất phản ánh tình trạng viêm phổi nặng dẫn đến khó thở.
Khi viêm phổi nặng xảy ra, phế nang sẽ chứa đầy đờm và nước bị viêm. Khi phế nang phủ đầy đờm và nước, không khí không thể vào. Do đó, theo bác sĩ họ Tô, phổi trắng thực chất là "bệnh nhân bị chính đờm của mình nhấn chìm".

Bác sĩ Tô nói thêm, khi phổi trắng xuất hiện, bệnh nhân thở mạnh nhưng phổi mất khả năng trao đổi khí, oxy trong máu tiếp tục giảm.
Khi độ bão hòa oxy trong máu giảm xuống dưới 89%, đó là tình trạng thiếu oxy. Nếu không được điều trị, bệnh nhân có thể tử vong trong vòng nửa ngày hoặc vài giờ do ngừng tim và ngừng hô hấp.
Cũng theo bác sĩ Tô, truyền thông Đài Loan (Trung Quốc) đang tranh luận về nguyên nhân tử vong của cô là do viêm phổi hay nhiễm trùng huyết nhưng trên thực tế, đây là hai mặt của một đồng xu.
Viêm phổi do nhiễm trùng và các lý do khác trong khi nhiễm trùng huyết là phản ứng viêm toàn thân do nhiễm trùng và các lý do khác. Vị bác sĩ nhấn mạnh rằng viêm phổi và nhiễm trùng huyết thường tồn tại cùng một lúc và không phải là những căn bệnh loại trừ lẫn nhau.
Theo VietNamnet