Một vụ việc xảy ra tại trường mầm non K.G tại phường Minh Khai, quận Hai Bà Trưng, Hà Nội mới đây đã khiến các bậc phụ huynh có con nhỏ vô cùng bức xúc. Theo đó, chị N.T.T.H có con gái 5 tuổi tên B.T, hiện đang học tại trường K.G.
Trong đợt dịch vừa qua, vì trường thiếu giáo viên nên lớp con chị chỉ có 1 cô chăm sóc 15 cháu. Điều này đã được phụ huynh phản ánh nhưng nhà trường vẫn chưa tuyển bổ sung giáo viên.
Sáng ngày 15/9, thời khóa biểu học có tiết chăm sóc cây xanh ở trường. Cô giáo đã cho học sinh ra khu vui chơi ngoài trời của chung cư (không phải của nhà trường), sau đó để các em chơi tự do.
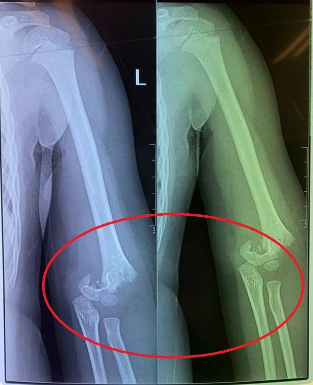
Con chị H. đã bị 1 bạn cùng lớp đẩy ngã từ cầu trượt văng ra ngoài làm gãy khuỷu tay. Tuy nhiên nhà trường lại không đưa bé T. đi bệnh viện luôn. "Tầm 12h trưa, tôi nhận được cuộc điện thoại của nhà trường báo: ''Con nhà chị sáng đi học bị ngã, tay sưng và đang cho lên bệnh viên Bạch Mai'. Sau đó tôi đi ra bệnh viện Bạch Mai thì cô hiệu trưởng báo bệnh viện Bạch Mai sẽ chuyển con lên bệnh viện Xanh Pôn. Tôi ngồi đợi con ở sảnh bệnh viện, đến khi cô hiệu trưởng đi ra thì thông báo: 'Mẹ làm hồ sơ nhập viện để mổ cho con'".

Con chị H. bị gãy phần khuỷu tay.
Chị H. cho biết, lúc nghe tin chị rụng rời tay chân, bàng hoàng không thốt nên lời. "Tôi đi vào phòng cấp cứu và được bác sĩ dặn phải thật bình tĩnh. Bác sĩ cho biết, may mà con tôi không bị liệt tay. Cháu bị gẫy tung khuỷu tay và phải được mổ ngay lập tức".
"Điều quan trọng là con bị ngã gẫy tay từ sáng mà đến 12h trưa giáo viên mới cho con đi bệnh viện. Lúc con ngã, cô không đưa đi khám luôn mà lại đưa con vào lớp, để các bạn ăn uống xong xuôi rồi mới gọi một chiếc xe tư nhân đưa con đi mà không phải xe cấp cứu. Nếu là xe cấp cứu thì họ còn có thể sơ cứu, nẹp tay cho con", chị H. bức xúc cho biết.
Cũng theo chia sẻ của bà mẹ này, ngay sau khi bị ngã, con chị đã xin cô gọi điện cho mẹ nhưng "cô không nói gì".
“Hiệu trưởng của trường được thuê về, còn chủ trường mầm non K.G là một bên khác. Sau khi con phải làm phẫu thuật, cô hiệu trưởng có đến thăm nhưng phía chủ trường không có động thái xử lý vụ việc thỏa đáng”, chị H. cho hay.
Chị H. mong muốn nhà trường phải có 1 buổi làm việc chính thức, phải có biên bản. Ngoài ra, nhà trường phải có lời xin lỗi chính thức. Về phần viện phí, chị H. có thể thông cảm, không hối thúc giáo viên phải chi trả ngay. Bà mẹ này chia sẻ thêm, con chị đang rất hoảng loạn, sợ hãi. "Hôm trước tôi có gọi người vào thay băng cho con thì con sợ lắm, cứ kêu khóc: "Mẹ đừng gọi bác sĩ vào con sợ lắm, đau lắm", chị H. xót xa kể lại.
"Mình có nói với nhà trường, nếu không giải quyết thỏa đáng vụ việc thì tôi chia sẻ vụ việc lên mạng xã hội nhưng nhà trường bảo: 'Chia sẻ hay không là việc của phụ huynh, trường không can thiệp'. Đến thời điểm hiện tại, trường vẫn chưa liên lạc với tôi. Gọi điện không nghe, nhắn tin không trả lời".
Sau khi nhận được thông tin của chị H., chúng tôi đã gọi điện cho Hiệu trưởng trường mầm non K.G để xác minh vụ việc. Hiệu trưởng cho biết sẽ gọi lại sau nhưng đến thời điểm hiện tại vẫn chưa gọi lại và khi chúng tôi tiếp tục liên lại thì chưa nghe máy.
Theo Pháp luật và bạn đọc
