Video: Khoảnh khắc giám đốc doanh nghiệp bị kẻ lạ mặt bắn trọng thương trong quán cà phê.

Vụ nổ súng xảy ra vào khoảng 8h30 ngày 20/11, tại quán cà phê Zenith - Nhà liền kề Khu A Quang Trung, TP Vinh, Nghệ An.

Thời điểm trên, anh Nguyễn Đức T. (giám đốc doanh nghiệp bất động sản ở TP Vinh) đang cùng nhóm bạn ngồi uống cà phê trong quán.

Sau đó, một kẻ đeo khẩu trang đi ô tô đến, cầm theo khẩu súng K59 lao vào quán bắn anh Nguyễn Đức T. hai phát đạn. Viên đạn thứ nhất bắn trượt, còn viên đạn thứ 2 trúng vào tay phải nạn nhân.

Sau khi gây án, hung thủ nhanh chóng bỏ trốn khỏi hiện trường. Mọi người lập tức đưa anh Nguyễn Đức T. đi cấp cứu tại bệnh viện.

Dưới sự chỉ đạo trực tiếp của Thiếu tướng Phạm Thế Tùng, Giám đốc Công an tỉnh và Đại tá Nguyễn Đức Hải, Phó Giám đốc Công an tỉnh Nghệ An, Công an TP Vinh nhanh chóng truy bắt được nghi phạm sau 2 giờ gây án.

Khẩu súng K59 nghi phạm dùng để gây án.

Kẻ nổ súng là Đậu Đức Thuận (SN 1984), trú tại TP Vinh bị bắt giữ.

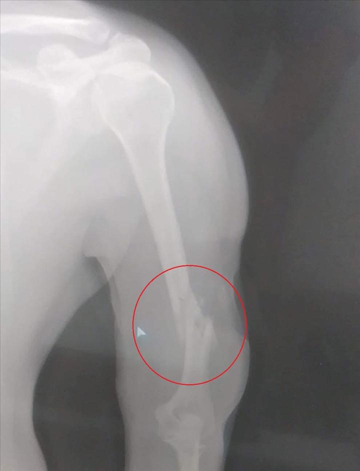
Anh Nguyễn Đức T. bị bắn gãy xương tay bên phải, không ảnh hưởng đến tính mạng.

Sau khi vụ việc xảy ra, quán cà phê Zenith đóng cửa để phục vụ công tác điều tra. (Ảnh: Tổng hợp).
Theo VTC
