Răng khểnh
Theo xem tướng mạo phương Đông, người có răng khểnh là người ăn nói vui vẻ, hoạt bát, làm việc hết mình. Họ là người tốt bụng, biết quan tâm người khác và đặt biệc luôn cố gắng hết mình vì bản thân, vì những người mà họ thương yêu. Cuộc sống gia đình đối với họ là vô cùng quan trọng.

Tài ăn nói cũng như cái duyên thầm từ chiếc răng khểnh này ra giúp cho người này có nhiều mối quan hệ tốt và sự thiện cảm từ những người xung quanh. Cũng từ đó mà công việc có nhiều lợi thế hơn những người khác, có khả năng thăng tiến, lấy được người tốt.
Răng mọc khít vào nhau
Hàm răng mọc san sát, nhỏ, khít vào nhau, đều cho thấy bạn là tuýp người cái gì cũng hài hòa, ổn định. Đối với phụ nữ thìd đó là một người khéo léo, giỏi giang việc nhà, việc xã hội. Đối với đàn ông, đó là một người đã tình, có nhiều phụ nữ theo đuổi. Các mối quan hệ xã hội của người này cũng nhiều và có thể sẽ phải đau đầu lựa chọn cuộc sống hôn nhân.
Hai răng cửa to, vuông
Theo nhân tướng học, người có hai răng cửa to là người về sau có cuộc sống sung túc, giàu sang hơn người. Chiếc răng cửa to tượng trưng cho sự sung túc, đủ đầy. Dù không cần phải quá vất vả thì vận may cũng tìm đến họ. Hơn nữa đây cũng là tuýp người biết lo toan, chăm sóc và luôn nỗ lực hết mình cho công việc. Có quý nhân phù trợ cộng với việc luôn biết mình là ai để cố gắng, người có đặc điểm này sẽ có được những thành công nhất định.
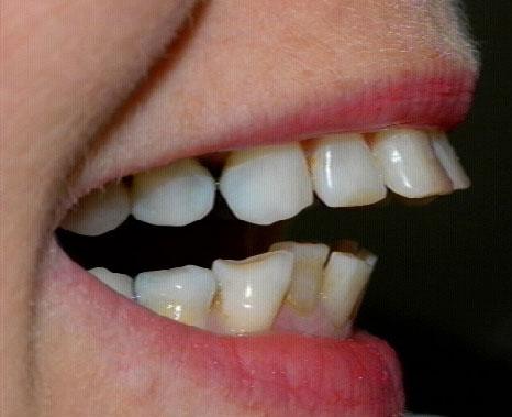
Có kẽ hở ở hai răng cửa

Đây là tuýp người tiêu tiền như nước, dù có kiếm ra nhiều thế nào thì một thời gian ngắn bạn cũng tiêu hết số tiền đó. Cuộc sống hôn nhân không mấy hạnh phúc vì họ thường nói ra những lời không hay khó kìm chế cảm xúc, khiến đối phương vô cùng mệt mỏi, chán nản. Vậy nên cuộc sống gia đình đối với họ vô cùng chông chênh.
Răng thưa
Luận theo tướng học, phàm những người răng thưa là những người dễ gây họa nhất. Họ không biết làm chủ lời ăn tiếng nói của bản thân mình, nói năng lung tung và rất hay đi nói xấu người khác, gây thị phi. Đây không phải là người bạn có thể tin tưởng được. Đối với chuyện tiền bạc, người này cũng không giỏi tính toán chi tiêu, thường hao hụt thất thoát rất nhiều nên nhất định không nên giao cho họ quyền giữ gìn ngân sách.
Cười hở lợi

Nhiều người cho rằng người cười hở lợi là người vô duyên căn bản nụ cười của họ khiến đối phương có cảm giác họ cười hơi to, hơi nhiều, không giữ ý tứ. Họ cũng không được lòng nhiều người vì có thể ăn nói khá bỗ bã, không phải là người duyên dáng. Tuy nhiên nội tâm con người này vô cùng tốt, họ sẽ hết lòng đối đãi với người nào mà họ cảm thấy yêu mến, coi trọng họ.
Răng vẩu

Tướng người răng vẩu xét về ngoại hình đã là thế yếu hơn so với người khác. Ăn nói dù có dễ nghe cũng khó chiếm được cảm tình của người đối diện. Vì vậy cuộc sống họ không có được nhiều sự ủng hộ cũng như giúp đỡ của người bên cạnh. Về sau người này thường khá vất vả, cuộc sống không như ý, lận đận về cả tình duyên và tiền bạc.
(*) Thông tin chỉ mang tính chất tham khảo
Thảo Trang (tổng hợp)
Theo Vietnamnet
