Ngày 21/2, thông tin từ Bệnh viện Chấn thương Chỉnh hình, TPHCM, cho hay, tại đây vừa tiếp nhận và can thiệp cho một trường hợp bị đứt lìa ngón tay sau tai nạn. Bệnh nhân là Nông Đại Hồng Đ. (19 tuổi) ngụ tại Đà Lạt nhập viện trong tình trạng bị đứt lìa đốt ngón cái của bàn tay phải.

Bệnh nhân nhập viện với ngón tay bị cáp điện thoại cắt đứt lìa
Khai thác bệnh sử của bác sĩ từ phía người bệnh được biết, trước khi gặp nạn Hồng Đ. đang điều khiển xe gắn máy từ nơi làm việc về nhà. Khi đang lưu thông trên đường thì bất ngờ bị dây cáp điện thoại từ trên cao rơi xuống cuốn vào tay lái và vùng đầu mặt.
“Tay trái em tự gỡ sợi dây ra được còn tay phải bị vướng vào. Theo quán tính, em giật mạnh tay thì phát hiện đốt ngón tay đã bị đứt”.
Sau khi tìm được đốt ngón tay bị đứt, Hông Đ. vội chạy tới bệnh viện địa phương. Tại đây nạn nhân được sơ cứu, bảo quản phần chi bị đứt trong túi nylon cột kín, bỏ vào thùng đá lạnh và nhanh chóng chuyển đến Bệnh viện Chấn thương Chỉnh hình, TPHCM.

Sau cuộc "siêu vi phẫu" đốt đứt lìa đã được hồi sinh
BS Nguyễn Ngọc Thạch, phẫu thuật viên chính cho biết: “Về mặt chức năng, ngón cái chiểm tỷ lệ 50% trên cả bàn tay, rất quan trọng trong việc cầm nắm, sinh hoạt và lao động nên chúng tôi nỗ lực để hồi sinh đốt đã bị đứt lìa cho bệnh nhân”.
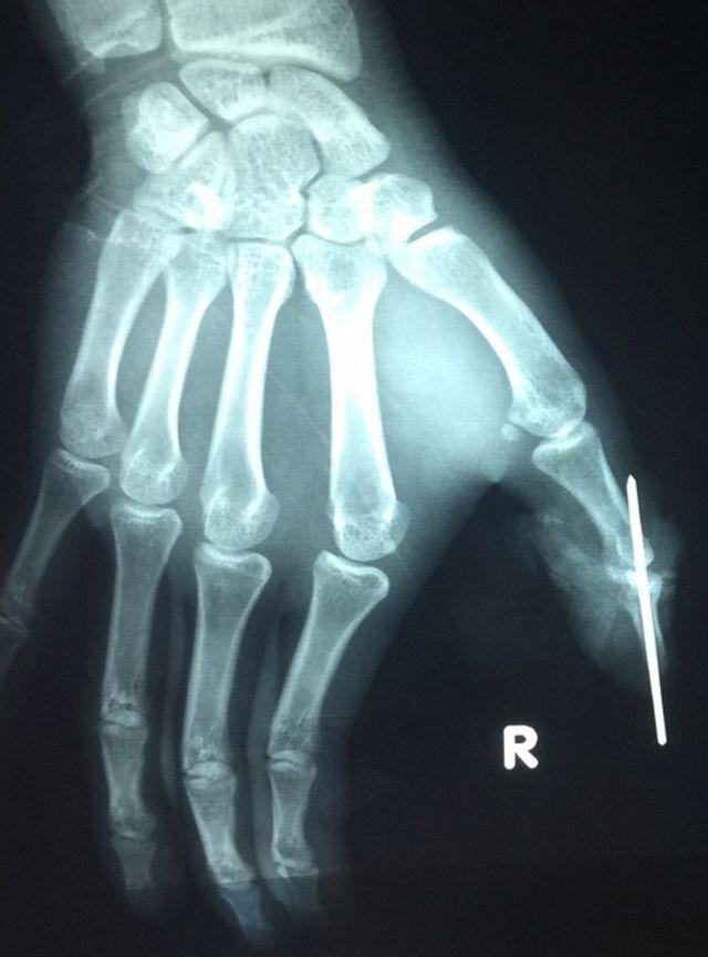
Ê kíp đã tiến hành cắt lọc hoại tử; kết hợp lại xương; dùng kĩ thuật "siêu vi phẫu" nối động mạch đốt xa ngón cái (đường kính động mạch ở vi trí này nhỏ dưới 1mm); nối thần kinh và tĩnh mạch ngón cái; nối lại gân để đảm bảo vận động cho bệnh nhân.
Sau cuộc vi phẫu, đốt ngón bị đứt lìa được tưới máu tốt, hiện ngón tay đã sống lại. Bệnh nhân được tiếp tục theo dõi để tránh nguy cơ nhiễm trùng, hoại tử. Bác sĩ nhận định sau khi bình phục, các chức năng ngón tay cái bị đứt của bệnh nhân sẽ không bị ảnh hưởng nhiều.
Theo Dân trí
