Hôm nay, Bộ Y tế có công điện gửi Giám đốc Sở Y tế Bình Phước yêu cầu tăng cường công tác phòng chống dịch bệnh bạch hầu.
Công điện nêu rõ, thông tin ghi nhận từ ngày 22/6 đến nay thấy sự xuất hiện ổ dịch bạch hầu tại ấp Thuận Tiến (xã Thuận Lợi) và ấp Thuận Phú 3 (xã Thuận Phú). Cả hai ấp đều thuộc huyện Đồng Phú, tỉnh Bình Phước. Tính đến thời điểm hiện tại đã có 3 người tại khu vực này tử vong vì bệnh bạch hầu.
Để chủ động triển khai các biện pháp phòng chống, khống chế ổ dịch, ngăn chặn dịch bạch cầu lan rộng, Cục Y tế dự phòng đưa ra yêu cầu giám đốc Sở y tế Bình Phước nhanh chóng bắt tay vào triển khai một số việc, trong đó có yêu cầu tăng cường giám sát chặt chẽ tình hình dịch bệnh bạch cầu, phát hiện nhanh, kịp thời các trường hợp mắc bệnh mới, tổ chức dung thu, cách ly, điều trị bệnh nhân để hạn chế tối đa biến chứng, tử vong…
Ngoài ra, Cục cũng yêu cầu Sở Y tế tỉnh Bình Phước phối hợp với Viện Pasteur TP. Hồ Chí Minh tổ chức tiêm vắc-xin chống dịch tại những khu vực đang xảy ra ổ dịch, vận động phụ huynh cho trẻ đi tiêm phòng bệnh bạch hầu đúng lịch và đủ mũi tiêm…
Bạch hầu là một chứng nhiễm trùng nghiêm trọng có ảnh hưởng tới niêm mạc cổ họng và mũi. (Ảnh minh họa: Internet)
Bạch hầu từng gây nên những dịch bệnh kinh hoàng trong lịch sử
Bệnh bạch hầu được mô tả lần đầu tiên vào thế kỷ 5 trước công nguyên. Nhiều tài liệu cũng nói đến sự hoành hành của căn bệnh này tại Ai Cập cổ đại và Syria. Vào thế kỷ 17, căn bệnh này đã gây ra rất nhiều vụ dịch gây chết người hàng loạt tại châu Âu. Tây Ban Nha gọi đây là căn bệnh “kẻ treo cổ”, còn ở Ý gọi là bệnh cổ họng.
Vào khoảng năm 1735, bệnh bạch hầu lan rộng đến các thuộc địa ở châu Mỹ, gây nên một dịch bệnh kinh hoàng. Chỉ trong vòng vài tuần, gia đình có người mắc bệnh đã bị tử vong toàn bộ.
Vào năm 1921, Hoa Kỳ ghi nhận 206.000 trường hợp mắc bệnh bạch hầu và 15.520 trường hợp đã tử vong vì căn bệnh này. Trước khi có thuốc điều trị bệnh bạch hầu, một nửa số người bị bệnh bạch hầu đã phải qua đời. Tỷ lệ tử vong do mắc bệnh bạch hầu dao động khoảng 20% ở trẻ dưới 5 tuổi và người lớn trên 40 tuổi, 5-10% là đối tượng từ 5-40 tuổi.
Bắt đầu vào năm 1920, số người mắc bệnh bạch hầu giảm nhanh chóng ở Mỹ và nhiều nước khác nhờ sử dụng rộng rãi các loại vắc-xin. Tuy nhiên, căn bệnh này vẫn tiếp tục hoành hành trên toàn thế giới dù đã có vắc-xin. Vào năm 2014, Tổ chức Y tế thế giới báo cáo đã ghi nhận 7321 trường hợp mắc bệnh bạch cầu. Con số này chưa phải là thống kê đầy đủ ở các quốc gia nên có thể sẽ còn cao hơn nữa.
Bệnh bạch cầu còn có khả năng lây lan ở mọi độ tuổi, giới tính. (Ảnh minh họa: Internet)
Bệnh bạch hầu nguy hiểm đến mức độ nào?
Bạch hầu là một chứng nhiễm trùng nghiêm trọng có ảnh hưởng tới niêm mạc cổ họng và mũi. Nếu không được điều trị kịp thời, bệnh bạch hầu có thể gây thiệt hại trầm trọng cho thận, tim và hệ thần kinh. Ít nhất 3% trường hợp trong tổng số bệnh nhân bị bạch hầu sẽ tử vong.
Độc tố bạch hầu có tác dụng chọn lọc với cơ tim, thần kinh, thận và thượng thận. Từ đó gây viêm cơ tim, phù nề, xung huyết, gây tổn thương hệ thần kinh dẫn truyền cơ tim. Chưa hết, bệnh còn gây thoái hóa thận, hoại tử ống thận, gây xung huyết tuyến thượng thận, chảy máu tủy và vỏ thượng thận. Khi độc tố bạch cầu gắn vào các mô tim, thận, thần kinh và thượng thận thì chắc chắn kháng độc tố bạch cầu không thể trung hòa, dẫn đến tình trạng sức khỏe bệnh nhân ngày càng trầm trọng hơn. Đặc biệt là bệnh nhân sẽ tử vong ngay lập tức do đột ngột trụy tim mạch không hồi phục.
Là một căn bệnh nguy hiểm như vậy, bệnh bạch cầu còn có khả năng lây lan ở mọi độ tuổi, giới tính. Ai cũng cần phòng chống căn bệnh chết người này, trong đó trẻ em từ 1-7 tuổi có tỷ lệ cao mắc bệnh nên cần được chú ý nhiều hơn.
Nguồn lây chủ yếu của bệnh bạch cầu là từ người bệnh sang người khỏe mạnh. Người bệnh sẽ bài tiết vi khuẩn từ cuối thời kỳ ủ bệnh đến lúc khỏi bệnh. Khi nói chuyện với nhau, vi khuẩn gây bệnh bạch cầu cũng có thể theo nước bọt lây trực tiếp từ người này sang người khác, thậm chí là lây qua đồ dùng có dính vi khuẩn gây bệnh bạch cầu. Người mắc bệnh bạch cầu vừa khỏi bệnh có khả năng mang vi khuẩn gây bệnh từ 2 tuần đến tận vài năm.
Biểu hiện lâm sàng của bệnh bạch hầu giống như viêm đường hô hấp, chảy nước mũi, toàn thân mệt mỏi, một cơn sốt, cảm giác rét run, sưng hạch ở cổ, ho khan từng tiếng một, đau họng, da xanh, chảy nước dãi, cảm giác lo lắng và khó chịu trong người. Vì những triệu chứng ban đầu này rất dễ nhầm lẫn với bệnh đường hô hấp, cảm cúm thông thường… nên bệnh gây khó khăn trong chẩn đoán và điều trị. Đến khi phát hiện là bạch hầu thì có thể đã ở giai đoạn muộn, khó chữa khỏi.
Vào giai đoạn nặng hơn, chất nhầy tiết ra ở mũi sẽ trở nên đặc quánh, có thể có máu, bờ môi trên xuất hiện tổn thương và đặc biệt xuất hiện mùi hôi khó chịu. Bệnh nhân cảm thấy khó thở hoặc khó khăn khi nuốt, suy giảm thị lực, nói lắp, hay đổ mồ hôi, tim đập nhanh hơn bình thường dù không vận động.
Tiêm vắc xin là biện pháp tốt nhất để phòng bệnh Bạch hầu
Dấu hiệu nhận biết bệnh bạch cầu
Bệnh bạch hầu có thể có nhiều biến thể, phổ biến là bạch hầu họng thông thường, bạch hầu thanh quản, bạch hầu mũi, bạch hầu ác tính...
Bệnh nhân khi bị mắc bệnh bạch hầu thường có các triệu chứng điển hình như sốt nhẹ, đau họng, ho, khàn tiếng, chán ăn. Trong trường hợp bệnh nặng, bệnh nhân không có biểu hiện sốt cao nhưng có dấu hiệu sưng to cổ, khàn tiếng, khó thở, rối loạn nhịp tim, liệt.
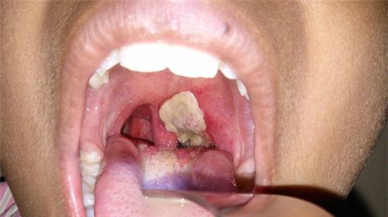
Với bệnh bạch hầu họng thông thường, thời kì nung bệnh thường kéo dài 2-5 ngày mà không có triệu chứng lâm sàng. Khi chuyển sang thời kì khởi phát, các triệu chứng phổ biến thường bao gồm: sốt nhẹ (38-38,5 độ C), sổ mũi 1 hoặc 2 lần, niêm mạc họng đỏ, kém sáng hơn. Xuất hiện những chấm trắng mờ và mỏng, hạch dưới hàm sưng to và đau. Khi chuyển sang thời kỳ toàn phát (2-3 ngày sau), người bệnh cảm thấy khó nuốt, nuốt vướng, đau cổ họng, người mệt mỏi xanh xao, có thể xuất hiện thêm triệu chứng có giả mạc ở mặt sau hoặc 2 bên thành họng, có màu trắng ngà, xám hoặc đen. Giả mạc này thường dai, dính và dễ chảy máu.
Bệnh bạch hầu ác tính gồm 2 thể là tiên phát và thứ phát. Ở thể tiên phát, người bệnh có thể có triệu chứng là sốt cao (39-40 độ C) mệt lả, da xanh tái, nôn, nuốt đau, màng giả lan nhanh 2 bên amiđan, hơi thở hôi, sưng hạch ở cổ... Bệnh nhân dần dần bị mệt lả, tím tái, sốt cao, xuất huyết nhiều nơi, khi uống nước sẽ bị sộc ra mũi, huyết áp hạ, mạch nhanh. Bệnh nhân có thể bị tử vong. Bệnh bạch hầu ở giai đoạn tiên phát không được điều trị sẽ chuyển thành thứ phát và nguy hiểm cho tính mạng. Phòng ngừa và xử trí khi bị bệnh bạch hầu
Cho đến nay, tiêm vắc xin là biện pháp tốt nhất để phòng bệnh bạch hầu. Hiện nay trong chương trình Tiêm chủng mở rộng, tất cả trẻ em sẽ được tiêm đủ 3 mũi vắc xin phối hợp 5 trong 1 phòng bệnh bạch hầu-ho gà-uốn ván-viêm gan B-viêm phổi, màng não do vi khuẩn Hib (DPT-VGB-Hib) lúc 2,3 và 4 tháng tuổi. Tiêm nhắc lại vắc xin bạch hầu-ho gà-uốn ván (DPT) khi trẻ đủ 18 tháng tuổi. Đối với trẻ ngoài 7 tuổi, phụ huynh có thể đưa đi tiêm phòng bạch hầu (mỗi mũi có thể ngừa được 5 năm) tại phòng khám bệnh Trung tâm Bệnh nhiệt đới và các sơ sở y tế dự phòng.
Vệ sinh phòng bệnh bằng cách giữ cho nhà ở, nhà trẻ, lớp học phải thông thoáng, sạch sẽ và có đủ ánh sáng. Tại nơi có ổ dịch bạch hầu cũ cần tăng cường giám sát, phát hiện các trường hợp viêm họng giả mạc.
Đối với bệnh nhân không may bị bệnh bạch hầu thì cần được phát hiện sớm và đưa ngay tới cơ sở điều trị để được chăm sóc và điều trị, tránh lây lan trong cộng đồng. Vì đây là bệnh này có thể lây truyền truyền trực tiếp từ người bệnh sang người lành qua đường hô hấp hoặc gián tiếp qua đồ chơi, vật dụng... nên bệnh nhân bạch cầu, cần cách ly ít nhất 2 ngày sau khi điều trị kháng thích hợp và cần đeo khẩu trang khi tiếp xúc với người khác, tránh làm lây bệnh cho người khác. Ngoài ra cần vệ sinh phòng ở, đồ dùng cá nhân, đồ chơi… bằng dung dịch sát khuẩn.