Các hãng thông tấn nước ngoài đã đưa tin về một trường hợp y khoa xảy ra ở Brazil, nơi một bé gái 11 tuổi đến gặp nha sĩ để nhổ răng sữa.
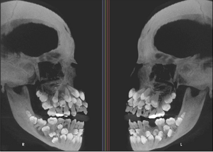
Tuy nhiên, kết quả chụp X-quang cho thấy miệng bé có tổng cộng 81 chiếc răng, bao gồm 31 chiếc răng thừa. Trường hợp hiếm gặp này sau đó đã được đăng trên một tạp chí y khoa và trở thành chủ đề nóng hổi.
Cụ thể, bé gái 11 tuổi 8 tháng ở Minas Gerais, Brazil, đã đến một phòng khám nha khoa để kiểm tra răng miệng và dự định nhổ hàng răng sữa trên cùng vốn vẫn chưa rụng.
Tuy nhiên, kết quả chụp X-quang cho thấy một phát hiện gây sốc, thực tế bé có 18 răng sữa, 32 răng vĩnh viễn và 31 răng thừa, tổng cộng là 81 răng.

Bé gái có 81 chiếc răng khiến nha sĩ bất ngờ.
Khi khám răng, bác sĩ nhận thấy chỉ có 5 răng vĩnh viễn đã mọc, trong khi vẫn còn khá nhiều răng sữa. Để đánh giá toàn diện hơn tình trạng răng miệng của bé, bác sĩ đã chỉ định chụp X-quang tổng quát và chụp sọ nghiêng.
Những hình ảnh cho thấy nhiều răng bị biến dạng và nằm sâu trong nướu, khiến việc phân biệt giữa răng bình thường và răng thừa rất khó khăn. Trung bình, một người trưởng thành có 32 chiếc răng và những chiếc răng thừa này được gọi là "siêu răng". Thông thường, chỉ có 1 hoặc 2 chiếc răng thừa.
Theo giải thích của các bác sĩ, răng thừa là một bất thường phát triển hiếm gặp, có thể xuất hiện ở bất kỳ vị trí nào trên cung răng và ảnh hưởng đến răng bình thường. Việc có nhiều răng thừa cực kỳ hiếm gặp ở những người không mắc các bệnh lý hoặc tình trạng di truyền khác.
Một nhóm các nhà nghiên cứu từ Bệnh viện Nha khoa thuộc Đại học Liên bang Huesca ở Brazil đã công bố nghiên cứu trường hợp hiếm gặp này trên Tạp chí của Viện Hàn lâm Chỉnh nha và Phẫu thuật Miệng và Hàm mặt Mỹ.
Các nhà nghiên cứu đã sử dụng hình ảnh chính xác để xác định vị trí răng và thực hiện xét nghiệm di truyền để tìm hiểu xem có yếu tố di truyền nào liên quan đến căn bệnh này hay không.
Xét nghiệm nhiễm sắc thể cho thấy bé gái người Brazil này có một đột biến gen hiếm gặp, nhưng mối liên hệ trực tiếp với những chiếc răng thừa vẫn cần được làm sáng tỏ.
Do một số răng thừa nằm sâu trong nướu hoặc khó phân biệt với răng bình thường, việc nhổ răng bừa bãi có thể gây tổn thương xương hàm.
Vì vậy, nhóm nghiên cứu đã mời các chuyên gia về chỉnh nha, phẫu thuật miệng, nha chu và phục hình răng để thảo luận và xây dựng một kế hoạch điều trị lâu dài, hy vọng sẽ bảo vệ sức khỏe răng miệng và giữ cho răng của cô bé luôn trong tình trạng tốt trong tương lai.
Theo Người đưa tin