Tai nạn giao thông khiến anh L.V.D. (57 tuổi, Kim Thành, Hải Dương) bị tổn thương tắc động mạch thận. Bệnh viện Hữu nghị Việt Đức phát hiện thận bên phải của bệnh nhân có huyết khối động mạch cực trên, mất phần cấp máu cho cực trên, thận bên trái thiếu máu hoàn toàn, chức năng thận giảm, có biểu hiện suy thận.
Sau hội chẩn liên khoa, các bác sĩ quyết định mổ cấp cứu, cố gắng bảo tồn thận phải và cứu thận trái cho bệnh nhân.
TS Lê Nguyên Vũ, Trung tâm Ghép tạng – Bệnh viện Hữu nghị Việt Đức, người trực tiếp tham gia ca phẫu thuật cho biết, thông thường với những tổn thương tắc động mạch thận, phẫu thuật sớm từ giờ thứ 6-8 tiếng sau tai nạn mới có thể cứu được thận. Tuy nhiên, bệnh nhân này khi được chuyển vào phòng mổ đã bước sang giờ thứ 24, quá "thời gian vàng" cho một ca ghép thận tự thân.
Nếu bệnh nhân không có biểu hiện suy thận thì không cần ghép thận tự thân và sống bằng thận còn lại. Nhưng anh D. đã có dấu hiệu suy thận nên các bác sĩ bắt buộc phải tiến hành ghép thận tự thân để 2 thận vẫn bổ sung chức năng cho nhau.

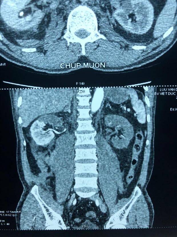
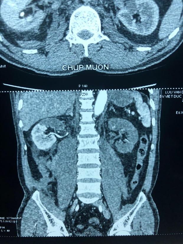
Phim trước mổ của người bệnh, thận phải mất 1/2 chức năng, thận trái mất hoàn toàn. Ảnh: BVCC
Nhóm phẫu thuật chia làm 2 kíp, tiến hành song song rửa – ghép thận trái và kiểm tra các tạng trong bụng, cơ hoành và bảo tồn thận phải.
Thận trái sau khi lấy ra khỏi cơ thể đã được rửa bằng dung dịch, bơm dung dịch tiêu huyết khối để hy vọng đẩy máu cục trong các mạch máu nhỏ bên trong quả thận. Mất khoảng 30 phút sau khi rửa, thận có màu trắng và đã được ghép vào hố chậu trái.
Sau 10 ngày phẫu thuật, chức năng thận của người bệnh đã trở lại bình thường.
PGS.TS Đỗ Trường Thành – Trưởng khoa Phẫu thuật Tiết niệu cho hay, "Thật sự là điều kỳ diệu! Quả thận của bệnh nhân mặc dù bị thiếu máu rất lâu nhưng các mạch máu trong thận không bị tắc lại, thận sau khi rửa không tím đen. Đây là một may mắn cho bệnh nhân có thể giữ lại được quả thận đảm bảo chức năng sống lâu dài".
Theo Pháp luật và Bạn Đọc
