Ngày 17/2, lần đầu tiên các giáo viên trường Tiểu học Nam Trung Yên, Hà Nội, đồng loạt lên tiếng cho rằng hiệu trưởng Tạ Thị Bích Ngọc báo cáo sai sự thật về việc em Trần Chí Kiên (học sinh lớp 2) gãy chân trong sân trường.
Gần ba tháng qua, anh Trần Chí Dũng - bố của Kiên - cất công tìm hiểu, phân tích, xử lý thông tin liên quan vụ tai nạn của con trai mình để tìm ra sự thật.
Nhiều uẩn khúc vụ học sinh gãy chân trong sân trường Đến nay, vụ nam sinh trường Tiểu học Nam Trung Yên, Hà Nỗi gãy chân khi đang chơi trên sân trường vẫn chưa có kết luận cuối cùng.
Mẹ thức ôm con cả đêm trong bệnh viện
Chia sẻ với Zing.vn, anh Dũng cho biết Kiên bị tai nạn ngày 1/12/2016 với thông báo của cô chủ nhiệm là “bị vấp ngã khi chơi trong sân trường”.
Cùng ngày, cháu được đưa đi cấp cứu tại Bệnh viện Nhi Trung ương. Theo bác sĩ, Kiên bị gãy xương đùi phải nhưng bó bột không thành công vì vết thương quá nặng. Nam sinh được chuyển sang Bệnh viện Việt Đức, Hà Nội. Bác sĩ chỉ định em phải mổ, nẹp vít xương.

Mẹ ôm Trần Chí Kiên khi em điều trị tại Bệnh viện Việt Đức. Ảnh: NVCC.
Anh Dũng kể lại thời gian chăm con tại bệnh viện, tâm lý gia đình rất nặng nề. Nhiều lần chứng kiến nỗi đau thể xác của con trai 8 tuổi, anh không kìm được nước mắt.
Người cha bày tỏ: “Kiên bị gãy đôi xương đùi, đau đớn tột cùng. Cháu luôn trong tư thế bó chặt, không thể cử động. Chiếc giường ở bệnh viện quá nhỏ cho hai mẹ con, vợ tôi ngồi và ôm con cả đêm. Tôi nhìn cảnh tượng đó mà đau đớn lắm”.
Thời gian đầu mải lo chăm sóc cho con, anh không tìm hiểu nguyên nhân tai nạn. Nhưng đến khi nghe bác sĩ phân tích, anh mới ngỡ ngàng.
Theo bác sĩ, nếu Kiên chỉ chạy chơi trong sân trường, em khó bị gãy xương đùi. Đây là bộ phận cứng, người không có bệnh lý về xương phải bị lực tác động mạnh mới có thể gây tổn thương. Đồng thời, Kiên có vết xước sau hông trái, dự đoán sau khi bị đâm mạnh, cháu ngã ngửa về phía sau.
Sau một tuần nằm viện, anh Dũng dò hỏi, động viên con kể lại sự việc. Cháu nói sau khi kết thúc giờ ra chơi, chạy vào lớp học thì va chạm với ôtô màu xanh nước biển đang di chuyển trong sân trường. Cậu học sinh lớp 2 nhận ra trên xe có cô hiệu trưởng và một giáo viên khác.
Hiện tại, sau gần ba tháng sau tai nạn, tâm lý của Kiên đã ổn định trở lại, em đang tập đi bằng nạng. Hàng ngày, giáo viên của trường đến nhà giúp em học tập.

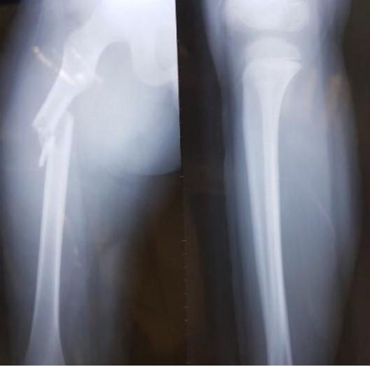
Hình ảnh khi xương đùi của học sinh Trần Chí Kiên được chụp X-quang. Ảnh: NVCC.
Hành trình tìm sự thật
Nghi ngờ về nguyên nhân vụ tai nạn, anh Dũng âm thầm giấu con đi tìm hiểu sự thật. Anh đến trường Tiểu học Nam Trung Yên làm việc với ban giám hiệu. Các cô vẫn khẳng định cháu Kiên bị ngã do chạy chơi trên sân trường.
Sau khi xem chẩn đoán của bác sĩ, giáo viên cho rằng có thể cháu bị va vào xe của thầy cô đang đỗ trong sân. Sau đó, hiệu trưởng phát phiếu khảo sát cho 100% cán bộ, giáo viên, học sinh trong trường để làm chứng mình không liên quan vụ việc.
Nam phụ huynh nói các bạn cùng lớp con trai đến chơi kể lại rằng: Khi Kiên bị xe đâm ngã, chú lái taxi và cô hiệu phó xuống xe nhưng cô hiệu trưởng vẫn ngồi bên trong. Một bạn gái chạy vòng qua xe gõ cửa bảo: “Cô ơi, xe đâm vào bạn Chí Kiên rồi”.
“Lúc đó, tôi đã khóc và cố giấu nước mắt cay đắng của mình", anh Dũng nhớ lại.

Mẫu khảo sát của trường Tiểu học Nam Trung Yên liên quan vụ tai nạn của em Kiên. Ảnh: Gia đình cung cấp.
Ngày 16/2, phụ huynh của học sinh Trần Chí Kiên viết đơn bày tỏ quan điểm gửi các cơ quan chức năng và báo chí, chỉ ra 7 điểm chưa hợp lý trong nội dung báo cáo của cô Tạ Thị Bích Ngọc giải trình về vụ việc. Theo anh Dũng, lý do cô Ngọc đưa ra trước và sau có nhiều điểm bất nhất, không đáng tin cậy.
Hiện tại, vụ việc nam sinh bị gãy chân trong sân trường vẫn chưa có kết luận chính thức. Trong hành trình đi tìm lại sự thật, người cha nói anh mong muốn không một trẻ em nào tiếp theo bị tai nạn đáng tiếc như con trai mình.
"Đây cũng là lời cảnh tỉnh, các trường học cần cấm các loại ôtô di chuyển trong sân trong giờ hành chính để đảm bảo sự an toàn cho các con", anh Dũng tâm sự.
Nam phụ huynh cũng cho rằng câu trả lời sự thật cũng là cách trả lại sự tự tin cho con trai. Thời gian qua, anh nhận được giúp đỡ của người thân, bạn bè và cả những người chưa từng gặp mặt trên mạng xã hội. Họ sẵn sàng tư vấn về pháp lý, cũng như cách xử lý thông tin để gửi tới báo chí và các cơ quan chức năng.
Theo Zing