Tai nạn nuốt phải dị vật có thể xảy ra bất kỳ lúc nào với bản tính hiếu động và ưa khám phá của trẻ. Hậu quả có thể đặc biệt nghiêm trọng khi đó là vật sắc nhọn.
Bé 6 tháng tuổi nuốt kim băng 2 cm
Ngày 12/9, bác sĩ Hoàng Lê Phúc - trưởng khoa tiêu hóa bệnh viện Nhi Đồng 1, TP.HCM - cho biết đã lấy ra cây kim băng dài gần 2 cm trong bụng bé Bùi Nguyễn Khánh Trinh (6 tháng tuổi, ngụ tại Kiên Giang).
Theo bác sĩ Phúc, khoảng 16h ngày 10/9, khoa tiêu hóa nhận được điện thoại từ khoa ngoại đề nghị chuẩn bị hỗ trợ nội soi cấp cứu một bệnh nhi nuốt phải dị vật là kim băng, đang trên đường chuyển viện. Hơn 19h cùng ngày, bệnh nhi tới bệnh viện và nhanh chóng được các bác sĩ nội soi khẩn cấp gắp dị vật.
Bác sĩ Phúc nói nếu không kịp thời lấy kim băng ra, kim sẽ càng chui xuống sâu thì không thể lấy dị vật bằng thủ thuật nội soi mà phải mổ hở. Ngoài ra, đầu nhọn của kim có thể đâm thủng mạch máu gây xuất huyết nội, rất nguy hiểm.
Bác sĩ Nguyễn Phúc Thịnh - người thực hiện nội soi gắp dị vật cùng bác sĩ Nguyễn Việt Trường - cho biết, kết quả chụp X-quang cho thấy kim băng đã bị bung đầu cài ra thành hình chữ V và đang nằm ngược (đầu nhọn hướng lên trên) ở đoạn cuối dạ dày, gần tới tá tràng và ở vị trí rất khó gắp.
Do kim bị bung đầu nên khi nội soi bác sĩ thấy nhiều vị trí ở thực quản, đường đi vào dạ dày và dạ dày trầy xước, đang chảy máu. Các bác sĩ phải dùng dụng cụ chuyên biệt bọc đầu kim nhọn lại và gắp ra, tránh được cuộc mổ lớn như bệnh viện tuyến dưới định thực hiện.
Theo bác sĩ Thịnh, lý do bé nuốt phải kim băng là mẹ bé cài một lá bùa ở ngực áo cho bé bằng kim băng. Bé đã giật lá bùa rớt ra ngoài, còn cây kim băng trong tay, bé đưa vào miệng nuốt. Bé 3 tuổi thủng ruột do nuốt nam châm dính sắt
Khoa ngoại tổng hợp Bệnh viện Nhi Đồng 2 - TP.HCM vào đầu tháng 9 tiếp nhận và mổ khẩn một trường hợp thủng ruột do nam châm khá hi hữu.
Ảnh minh họa
Bệnh nhi là bé N.D.P.U., 3 tuổi, ngụ ở Q.9, TP.HCM, nhập viện vì đau bụng dữ dội. Theo lời người nhà, trước đó bé vẫn bình thường, không có dấu hiệu gì lạ ở trường cũng như ở nhà.
Qua thăm khám và chụp X-quang bụng tầm soát, các bác sĩ phát hiện có hình ảnh của dị vật trong bụng của bé, nghi là những mảnh sắt nhỏ (do có cản quang). Bé được mổ nội soi cấp cứu, kết quả cho thấy bé bị thủng ruột ở hồi tràng (là đoạn đầu của ruột non) do hai mảnh sắt nhỏ đính vào một cục nam châm chọc thủng. Các bác sĩ đã khâu lại lỗ thủng và làm sạch ổ bụng cho bé.
Bác sĩ Lê Toàn Thắng, phẫu thuật viên chính, cho biết, có thể trong lúc chơi đùa bé vô tình nuốt các mảnh sắt nhỏ này. Điều đặc biệt là hai mảnh sắt này khá nhỏ, nếu may mắn cơ thể có thể tự đào thải qua phân. Nhưng cục nam châm đã hít hai mảnh sắt ở hai đầu tạo thành một thanh khá dài khiến dị vật không qua được ruột và gây thủng. Trẻ 10 tháng tuổi nuốt kim băng mở bung vào bụng
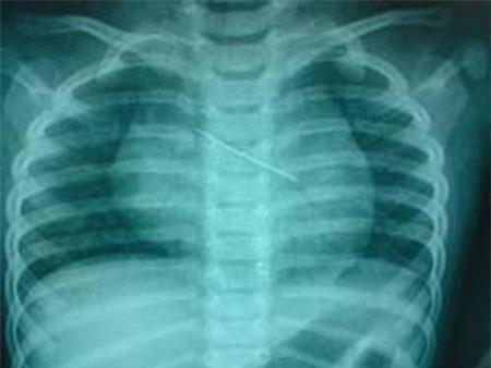
Ngày 16/4, BV Nhi Trung ương cho biết, các bác sĩ của BV này đã thực hiện thành công ca nội soi gắp kim băng trong phế quản cho một bệnh nhi mới 10 tháng tuổi.
Hình ảnh X-quang ngực có kim băng
Bệnh nhân là Lê Anh Th., ở Xuân Lộc (Hà Tĩnh). Theo lời kể của người nhà bệnh nhân, trong lúc ngồi chơi cùng bà và mẹ, cháu Th. nhặt được chiếc kim băng của bà làm rơi và cho vào miệng. Mẹ cháu hốt hoảng dùng tay móc miệng cháu để lấy kim băng ra. Cháu khóc thét và nuốt vật này vào sâu hơn. Lập tức gia đình đưa cháu đến BV tỉnh Hà Tĩnh, kết quả chụp X-quang phát hiện kim băng đã nằm trong lồng ngực của trẻ.
Tại BV Nhi Trung ương, kết quả chụp X-quang ngực thẳng và nghiêng cũng cho thấy có hình ảnh kim băng nằm trong đường thở, tận phế quản góc trái. Đặc biệt, kim băng ở trạng thái mở, đầu nhọn quay lên trên và ngập sâu vào niêm mạc phế quản. Sau khi hội chẩn, các bác sĩ đã quyết định mổ nội soi phế quản để lấy dị vật. Ca phẫu thuật diễn ra trong 2 giờ đồng hồ. Bệnh nhi sau đó đã bình phục, sức khỏe tốt và được xuất viện.
3 chiếc ghim giấy trong phổi bé 9 tháng tuổi
Bé Nguyễn Phó Thế Anh (9 tháng tuổi, ở xã Quảng Đại, huyện Quảng Xương, Thanh Hóa) nhập viện Khoa hô hấp, Bệnh viện Nhi Thanh Hóa vào chiều ngày 15/3, trong tình trạng ho khò khè, sốt nhẹ, hay quấy và biếng ăn. Sau khi chụp X-Quang, các bác sĩ phát hiện trong phổi trái của bệnh nhi này có hình ảnh cản quang bởi dị vật lạ bám vào phổi. Các bác sĩ đã hội chẩn và tiến hành ca phẫu thuật cấp cứu ngay trong đêm 15/3, bằng phương pháp nội soi để gắp dị vật.
Sau ba giờ phẫu thuật, các bác sĩ đã gắp thành công ba chiếc ghim giấy dính vào nhau từ phổi cháu Thế Anh.
Ba chiếc ghim sắt được gắp ra từ phổi trái cháu Nguyễn Phó Thế Anh.
Trước đó, chị Thừa Thị Hòa (37 tuổi), mẹ Thế Anh cho Thế Anh chơi cùng chị gái. Lúc đó, chị gái bé đang dùng ghim giấy đóng vở. Do mọi người sơ ý, Thế Anh nhặt ghim sắt bỏ vào miệng. Khi phát hiện đươc, chị Hòa đã kịp móc trong miệng của cháu ra vài chiếc ghim, cứ tưởng như vậy là đã hết. Không ngờ hai tuần sau, cháu có biểu hiện ho, kho khè và sốt nhẹ, chị đưa con đi viện kiểm tra.
Cháu Nguyễn Phó Thế Anh trong thời gian được điều trị tại Bệnh viện Nhi Thanh Hóa.
Sau bốn ngày điều trị, chăm sóc tại bệnh viện, Thế Anh đã tỉnh táo, không sốt, ho ít và chịu ăn uống. Bé Thế Anh hiện đã hồi phục sức khỏe.
Mải chơi, bé gái nuốt luôn kim nhể ốc
Ngày 22/1, Bệnh viện Nhi đồng TP.HCM, tiếp nhận cấp cứu bé gái (8 tuổi, ngụ TP.HCM) bị tai nạn hy hữu: nuốt phải cây kim dùng để nhể ốc.
Trước đó một ngày, bệnh nhi được đưa vào bệnh viện trong tình trạng sức khoẻ bình thường. Qua theo dõi, các bác sĩ phát hiện cây kim đang di chuyển đến ruột bé gái.
Ảnh minh họa.
Bệnh nhi cho biết, trước khi xảy ra tai nạn, em vừa chơi game vừa ăn ốc. Do quá tập trung chơi nên em đã nuốt cây kim lúc nào không hay. Bệnh nhi sau đó đã được nội soi lấy cây kim ra.