Theo Thanh Niên đưa tin, sáng 5/1, Bệnh viện Nhi đồng Thành phố (TP.HCM) vừa tiếp nhận cấp cứu bé trai 6 tuổi (ngụ H.Cần Giuộc, Long An) vì nhét thanh sắt thông cống vào hậu môn và dính luôn trong bụng.
Gia đình bé cho biết, vào tối 4/1, bé vào nhà vệ sinh nhét thanh sắt thông cống vào hậu môn rồi rút ra không được nên người nhà đã đưa bé nhập viện Bệnh viện Nhi đồng Thành phố trong tối cùng ngày.
Tại bệnh viện, các bác sĩ nội soi ổ bụng, thám sát thấy đoạn ruột sigma bị bầm máu, chưa ghi nhận thủng ruột. Riêng hậu môn, có thanh sắt ghim chặt vào thành sau trực tràng. Bé được mổ cấp cứu ngay.
Nhóm bác sĩ khẩn trương nội soi ổ bụng thám sát thấy đoạn ruột sigma (nằm gần nhất với trực tràng và hậu môn, là một phần của ruột già) bị bầm máu, chưa thấy thủng ruột.

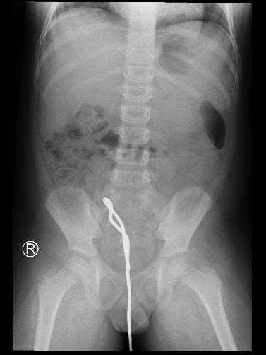
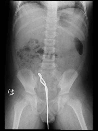
Thanh sắt nằm trong bụng bệnh nhi qua chẩn đoán hình ảnh. Ảnh BVCC
Khi thăm dò hậu môn thấy cạnh sắt ghim chặt vào thành sau trực tràng. Các bác sĩ đã lấy thanh sắt ra ngoài theo ngả hậu môn.
Sau mổ, sức khỏe bệnh nhi ổn định và được thăm khám tâm lý. Bệnh nhi đang nhịn ăn để theo dõi tiếp diễn tiến chảy máu hoặc thủng xước đường ruột.
Cũng theo lời người thân của bệnh nhi, đây là thói quen bé bắt chước từ phim ảnh. Thậm chí bé còn tập cho em trai 1 tuổi rưỡi nhét dị vật vào một số vị trí trên cơ thể.
Ghi nhận của Tuổi Trẻ Online, bác sĩ Nguyễn Cát Phương Vũ, làm việc tại khoa hồi sức tích cực Bệnh viện Nhi đồng Thành phố cho biết trong lúc chơi đùa một mình, trẻ nhỏ thường tò mò tự khám phá bản thân bằng cách nhét dị vật (hạt, đồ chơi...) vào tai - mũi - họng, kể cả "chỗ kín" của mình.

Thanh sắt được lấy ra từ hậu môn của bệnh nhi 6 tuổi. Ảnh BVCC
Việc trẻ nhỏ đưa một vật vào mũi, vào tai hay bất cứ lỗ nào trên cơ thể có thể khiến bản thân trẻ thấy ngộ nghĩnh và thích thú, đặc biệt khi trẻ lạm dụng bắt chước theo phim ảnh độc hại tình cờ xem được, hoặc chủ ý xem rồi nghiện, do phụ huynh không kiểm soát tốt.
Câu chuyện của bệnh nhi trên như lời cảnh báo dành cho các bậc phụ huynh có con nhỏ, phụ huynh nên rà soát xem tất cả đồ chơi trong nhà, chỉ cho trẻ chơi những đồ chơi phù hợp với lứa tuổi.
Đồng thời, không nên để trẻ xem những chương trình vô bổ, chứa những tình huống nguy hiểm vì trẻ vốn rất tò mò sẽ dễ học theo dẫn đến những tai nạn ngoài ý muốn.
HT (t/h)
Theo Vietnamnet
