Bác sĩ Hồ Hoài Hưng, Phó khoa Ngoại Thần kinh - Bệnh viện Đa khoa Xuyên Á Tây Ninh, cho biết bệnh viện vừa tiếp nhận ca bệnh hy hữu, nguy kịch sau khi đi bơi. Cụ thể, anh N. nhảy xuống hồ bơi mà không biết nước cạn, đầu va đập với nước gần đáy hồ. Tuy nhiên, anh không cảm thấy đau, đầu cũng không có vết thương nên trở về nhà ngủ.
Đến 20 giờ, người nhà nhiều lần gọi dậy ăn tối nhưng N. không hồi đáp, liền đưa anh đến Bệnh viện Đa khoa Xuyên Á cấp cứu. Tại đây, anh N. đã hôn mê sâu, mất hết phản xạ. "Nếu muộn vài phút nữa, bệnh nhân sẽ tử vong" - bác sĩ Hưng nói.

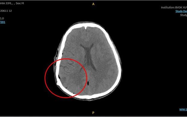
Khối máu tụ khi vào viện gây chèn ép não. Ảnh: BVCC
Ê-kip cấp cứu lập tức đưa anh N. vào chụp CT, kết quả cho thấy sọ có đường nứt nhẹ, xuất huyết não do đứt một mạch máu nhỏ vì chấn thương. Bệnh nhân được đưa vào phòng mổ để cầm máu, hút máu tụ khoảng 150 ml.
Sau gần 3 giờ phẫu thuật căng thẳng, ca mổ đã kết thúc thành công. Sau phẫu thuật, anh N. tiếp tục được hồi sức tích cực cũng như chăm sóc toàn diện tại Khoa ICU.

Khối máu tụ đã được lấy đi hoàn toàn và cầm máu, Ảnh:BVCC
Theo bác sĩ Hưng, bệnh nhân sau mổ không để lại di chứng gì. Hiện anh N. có thể tự mặc quần áo, đi lại, ăn uống, sinh hoạt bình thường. Ở một số trường hợp tương tự khác, bệnh nhân có di chứng như yếu liệt nửa người.
Bác sĩ Hưng khuyến cáo khi bệnh nhân bị chấn thương đầu có triệu chứng đau đầu, ói, ăn không được, ngủ li bì, sốt thì nên đến bệnh viện để thăm khám. Người bệnh không nên chủ quan vì khối máu tăng có thể gây hôn mê đột ngột hoặc động kinh, co giật.
"Tình trạng này rất nguy hiểm nếu không được cấp cứu tại cơ sở y tế. Bệnh nhân có thể cắn lưỡi, sùi bọt mép, sau co giật thường có di chứng tổn thương não" - bác sĩ Hưng nhấn mạnh.
Theo Người Lao Động
