Người phụ nữ tìm đến Bệnh viện Đa khoa Medlatec thăm khám trong tình trạng mệt mỏi, hoảng loạn.
Chị V cho biết, trước đó chị đã thăm khám tại cơ sở y tế địa phương, được chẩn đoán nhiễm trùng da mô mềm nhưng quá trình điều trị không thuyên giảm.
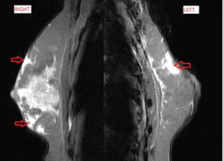
Tại viện, kết quả siêu âm và chụp cộng hưởng từ của bệnh nhân cho thấy, hình ảnh các ổ dịch viêm, áp xe rải rác tuyến vú hai bên. Đồng thời, bệnh nhân được chọc dịch ổ áp xe lấy mẫu bệnh phẩm xét nghiệm, kết quả dương tính với mycobacterium fortuitum - một dạng vi khuẩn lao không điển hình (NTM).
BS Trần Hữu Đạt - Phòng Vi sinh, Trung tâm Xét nghiệm Medlatec cho biết, nguyên nhân dẫn tới tình trạng nhiễm trùng của chị V. có thể do quá trình thực hiện phẫu thuật không đảm bảo các quy trình kiểm soát nhiễm khuẩn.
“Trường hợp này vấn đề thẩm mỹ không còn đặt lên hàng đầu mà trước mắt cần giải quyết tình trạng nhiễm trùng cho bệnh nhân, phòng tránh tai biến sốc nhiễm khuẩn, đe dọa nghiêm trọng đến tính mạng”, bác sĩ Đạt nói.

Hình ảnh chụp cộng hưởng từ của bệnh nhân cho thấy các ổ viêm, áp xe rải rác tuyến vú hai bên. (Ảnh: BVCC)
Bệnh nhân được các bác sĩ xử trí dẫn lưu dịch và điều trị phác đồ kháng sinh nghiêm ngặt. Sau 1 tháng, tình trạng nhiễm trùng của chị V hết hoàn toàn, kết quả xét nghiệm vi sinh không phát hiện vi khuẩn.
Theo bác sĩ Đạt, NTM (Non Tuberculosis Mycobacteria) là nhóm vi khuẩn có mặt trong môi trường (đất, nước…) gây ra tình trạng nhiễm trùng, đặc biệt ở những người có hệ miễn dịch kém.
Nhiều người lầm tưởng NTM là nguyên nhân gây bệnh lao, tuy nhiên, đây là loại vi khuẩn gây nhiễm trùng ngoài phổi mà không phải bệnh lao.
Vi khuẩn NTM gây ra các triệu chứng như viêm phổi, ho khan kéo dài, sốt, giảm cân, viêm mô mềm, viêm da, nhiễm trùng sau phẫu thuật.
Bác sĩ Trần Hữu Đạt thông tin, tỷ lệ nhiễm trùng da mô mềm do NTM đang ngày càng gia tăng. Tình trạng này thường bị bỏ qua do triệu chứng không điển hình và bác sĩ không chỉ định thường quy các xét nghiệm chẩn đoán NTM. Đồng thời, điều trị NTM khác hoàn toàn với các nhiễm trùng do vi khuẩn thông thường khác, do NTM có tỷ lệ kháng thuốc cao, tính dung nạp thuốc kém, phác đồ điều trị rất dài và cần phối hợp nhiều thuốc.
Bác sĩ Đạt khuyến cáo, nếu bạn đang có ý định nâng ngực hãy tìm hiểu kỹ và nhận tư vấn từ bác sĩ phẫu thuật thẩm mỹ có chuyên môn cao, lựa cơ sở uy tín, không vì ham rẻ mà tiền mất tật mang.
Theo VTC
