Theo thông tin từ Bệnh viện Chấn thương chỉnh hình TP HCM, đơn vị vừa tiếp nhận và mổ thành công cho nam thanh niên gặp tai nạn lao động nghiêm trọng bị dập nát các gân cơ duỗi ngón tay.
Bệnh nhân là anh P.V.L. (sinh năm 1992, ngụ huyện Càng Long, tỉnh Trà Vinh), là công nhân đứng máy để cuộn các cọng dây kẽm tại một nhà máy sắt.
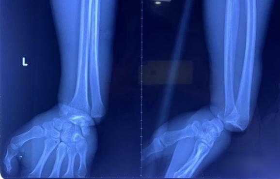
Anh L. có 1 vòng siết chặt ở cổ tay, bàn tay tím ngắt
Trước đó, vào nửa đêm 26/2, khi anh L. đang làm việc thì cảm thấy mệt mỏi và buồn ngủ nên anh quyết định không cuộn kẽm vào khuôn mà bấm máy. Hành động này đã làm hàng loạt vòng kẽm siết chặt vào cổ tay anh.
Thấy vậy, đồng nghiệp đã chạy đến tắt máy, cắt cuộn dây kẽm quấn vào cổ tay và đưa anh L. đi cấp cứu.
Sau khi chụp X-quang tại Bệnh viện Chấn thương chỉnh hình TP HCM, các bác sĩ ghi nhận anh L. có 1 vòng siết chặt ở cổ tay và hết 1 vòng chu vi cổ tay.
Mặc dù dây kẽm đã được tháo sau 90 phút gặp nạn nhưng bàn tay, ngón tay đã lạnh, mất cảm giác và chức năng vận động.
Hình ảnh chụp X-quang của anh L.
Các bác sĩ tiến hành hội chẩn và quyết định phẫu thuật gấp cho bệnh nhân. Ekip mổ do bác sĩ Huỳnh Quang Tuyến và bác sĩ Văn Tiến Chương, khoa Vi phẫu tạo hình phụ trách cắt lọc, thám sát, xuyên kim khóa cố định khớp cổ tay bằng 2 đinh krischner, nối vi phẫu tận – tận động mạch trụ cho bệnh nhân, cắt lọc gân - cơ duỗi.
Bên cạnh đó, phẫu thuật cũng giúp giải phóng bao ngoài động mạch quay, giải ép và giải phóng bao ngoài thần kinh quay, thần kinh trụ và thần kinh giữa.
Hậu phẫu, các bác sĩ chẩn đoán bệnh nhân bị gãy trật khớp cổ tay trái, dập tắc bó mạch thần kinh trụ, dập động mạch quay, dập thần kinh giữa, dập nát các gân - cơ gân duỗi các ngón...
Sau 3 ngày diễn ra ca mổ, anh L. đã tiến triển tốt hơn, bàn tay hồng ấm, dần có cảm giác và đã cử động nhẹ được. Dự kiến sau đó, các bác sĩ sẽ khâu nối gân duỗi sau khi bàn tay ổn định.
Theo bác sĩ Võ Hòa Khánh, trong trường hợp này, bệnh nhân khá may mắn khi được các đồng nghiệp cắt bỏ dây kẽm trong vòng 2 tiếng đầu tiên và đến bệnh viện khá sớm.
"Bệnh nhân này tiếp tục được dùng kháng sinh mạnh chống nhiễm trùng, sau đó sẽ khâu da, ghép da bổ sung và khâu phục hồi gân duỗi sau khi đã ổn định", bác sĩ Khánh cho biết.
HT
Theo Vietnamnet
