Trước đó, khoảng hơn 15 giờ chiều ngày 19/03/2016, tiếng nổ làm rung chuyển mặt đất phát ra tại khu nhà thấp tầng TT9 đô thị Văn Phú nằm trên mặt đường Lê Trọng Tấn nối ra phố Quang Trung (Hà Đông). Vụ nổ được xác định nguyên nhân là do một vựa ve chai cưa một vật kim loại có chứa chất nổ. Ngoài 5 người tử vong và nhiều người bị thương nặng đang cấp cứu ở bệnh viện sau sự việc trên, những người dân sống lân cận hoặc đi ngang qua vụ nổ cũng bị thương tích nhẹ. Một số người bị mảnh vỡ của vụ nổ văng trúng.
Liên quan đến vụ việc, một nạn nhân nữ ngồi sau xe máy, bị mảnh vỡ găm vào đùi và đã đến bệnh viện Quân Y 103 để chụp chiếu. Theo lời kể của nạn nhân, trước địa điểm xảy ra vụ nổ có một ngã tư đèn đỏ, rất may trước khi đèn đỏ kịp sáng thì người chồng chị cầm lái đã vượt qua. Khi đi qua vị trí nổ khoảng 150 m thì vụ nổ xảy ra và ngay sau đó người phụ nữ này thấy đau đùi phải và có máu chảy qua vết thương.

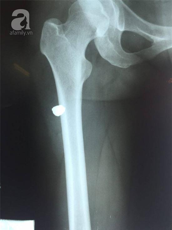
Mảnh vỡ được phát hiện

Mảnh vỡ được đưa ra khỏi đùi nạn nhân
Các bác sĩ cho biết, kiểm tra qua phim chụp thì thấy có dị vật, lâm sàng không có tổn thương mạch hay thần kinh, vết thương nằm vị trí mặt sau ngoài tương ứng 1/3 trên đùi phải với kích thước khoảng 0,5 x 0,5 cm, bờ nham nhở, xung quay tấy đỏ, thành vết thương có dập nát.
Khảo sát sâu hơn nữa thấy ống vết thương đi từ trên xuống dưới, vào trong, trên đường đi có nhiều di vật kim khí cắm gắn lấm tấm. Sau phẫu thuật lấy dị vật thì phát hiện dị vật nằm trong cơ rộng ngoài là 1 mảnh kim loại và khả năng là mảnh gang có kích thước 1 x 0,5cm. Các bác sĩ đã phẫu thuật lấy dị vật, khâu dưới da.
Qua trường hợp trên, chuyên gia y tế trên Diễn đàn bác sĩ nội trú khuyên người dân: bất cứ ai ở gần và rất gần vụ nổ thì nên đi khám sức khỏe nhằm tránh không để bỏ sót các tổn thương nếu có. ít nhất là các sang chấn về tinh thần, cũng như các tổn thương do sức ép trong vụ nổ hoặc do các mảnh kim khí bắn ra.

Các bác sỹ đang tiến hành lấy mảnh vỡ trong đùi nạn nhân
Trước đó, sáng nay (20/3), Công an TP Hà Nội đã có báo cáo kết quả điều tra ban đầu vụ nổ gây hậu quả đặc biệt nghiêm trọng trước cửa số nhà 15 - TT19, Khu đô thị Văn Phú, phường Phú La, quận Hà Đông.
Khám nghiệm hiện trường, các lực lượng chức năng của Công an thành phố Hà Nội và Bộ Tư lệnh Thủ đô đã thu được nhiều mảnh kim loại bằng gang, thép, được xác định là vật liệu dùng để chế tạo bom...
Quá trình xác minh, cơ quan điều tra được biết, anh Phạm Văn Cường (41 tuổi, quê ở huyện Nam Trực, tỉnh Nam Định), thuê nhà số 15 - TT 19, Khu đô thị Văn Phú, quận Hà Đông từ năm 2013 để hành nghề thu mua phế liệu. Sau khi thu gom phế liệu các loại, anh Cường mang về nơi ở trọ cất giữ.
Đến 8h30’ ngày 19/3/2016, anh Cường nhờ một nam thanh niên hàng xóm lăn giúp từ trong nhà thuê trọ ra vỉa hè trước cửa (nơi xảy ra vụ nổ) 1 khối kim loại hình trụ bằng sắt đã hoen gỉ, đường kính khoảng 40 - 45 cm, dài khoảng 80 cm, khối lượng ước khoảng trên 100 kg.
Trong khi anh Cường cắt phá khối kim loại này bằng đèn khò, nhiệt lượng đã kích nổ gây ra hậu quả đặc biệt nghiêm trọng, làm 5 người chết, 10 người bị thương, 36 căn hộ bị hư hỏng nặng, 95 căn hộ phía sau hiện trường vụ nổ bị vỡ hết kính, nứt tường, bung cửa; nhiều xe máy để ngoài đường và đi ngang qua bị hư hỏng.
Theo Afamily/ trí thức trẻ