Mụn đầu đen
Mụn đầu đen là "kẻ thù" của nhiều chị em, không chỉ làm da sạm đen, lỗ chân lông to mà còn gây mất thẩm mỹ. Đây cũng là loại mụn "cứng đầu" và đòi hỏi bạn phải cực kỳ kiên trì khi điều trị.
Vào mùa hè, mụn đầu đen dễ tấn công da dầu. Bạn có thể đắp mật nạ chanh với mật ong, hoặc lòng trắng trứng để triệt tiêu lọa mụn này. Không những vậy, chanh, mật ong hay lòng trắng trứng còn có tác dụng làm sạch, kháng viêm và giúp da "bật tông" lên trông thấy.
Hãy kiên trì đắp mặt nạ này 2 lần/ tuần để trị mụn hiệu quả.

Mụn trứng cá
Loại mụn trứng cá là do vi khuẩn xâm nhập và trú ngụ ở các lỗ chân lông. Vì thế muốn trị mụn trứng cá, trước hết bạn cần chú ý tới bước làm sạch da và hạn chế tối đa việc nặn mụn bởi tay chứa rất nhiều vi khuẩn.
Hằng ngày, nhất là vào mùa hè, các bạn nữ hãy tránh trang điểm hoặc trang điểm quá dày khiến da càng bị bít lỗ chân lông. Nếu tình trạng mụn nghiêm trọng, hãy đến thăm khán bác sĩ để chuyên gia có thể tư vấn cách điều trị phù hợp.
Bạn nên tránh nghe lời khuyên của mọi người hoặc áp dụng những loại kem trị mụn không rõ nguồn gốc.
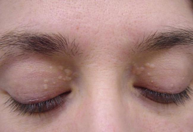
Mụn thịt
Trong số các loại mụn, có lẽ mụn thịt là khó trị khỏi nhất. Vì nó là các nang bã nhờn tích tụ rồi nổi lên thành những hạt mụn trắng nhỏ ti ti.
Để giảm bớt mụn này, bạn cần chườm khăn ấm mỗi ngày. Đừng đắp hoặc thoa kem gì để trị mụn thịt, vì nó đều vô tác dụng. Để trị triệt để loại mụn này, phương pháp bắn laser mới có hiệu quả.

Mụn mủ
Mụn mủ cũng là vấn đề nghiêm trọng cho làn da. Chúng khá khó chữa trị và ảnh hưởng tiêu cực đến quá trình làm đẹp hay chăm sóc da.
Có nhiều nguyên nhân gây ra mụn mủ, nhưng phổ biến nhất là do mụn trứng cá phát triển rộng. Để điều trị loại mụn này, bạn nên hỏi ý kiến bác sĩ.
Những điều cần tránh khi da bị mụn
- Tránh chà xát mạnh, nặn mụn, tẩy tế bào chết thường xuyên
- Hạn chế đắp các loại mặt nạ dưỡng da vì dưỡng chất khó thẩm thấu mà còn dễ gây bít lỗ chân lông
- Tránh ăn uống sữa động vật, đồ cay, đường, đồ chiên rán, hay đồ ăn nóng
- Tránh thức khuya
- Tránh trang điểm dày và không tẩy trang trước khi đi ngủ
- Hạn chế rượu, bia, thuốc lá, caffeine
- Tránh ánh nắng mặt trời tiêu cực, nhất là thời điểm 10-15h
Theo VietNamNet
