Bệnh viện Bạch Mai (Hà Nội) vừa tiếp nhận và xử trí cho một nữ bệnh nhân 69 tuổi bị thủng tử cung do tiền sử đặt dụng cụ tránh thai 30 năm.
Bệnh nhân vào viện trong tình trạng viêm phúc mạc, thủng ruột non và dụng cụ tránh thai nằm ngoài thành tử cung. Các phẫu thuật viên của tua trực lập tức mổ mở cấp cứu cắt tử cung bán phần, khâu lỗ thủng ruột non và rửa sạch ổ bụng cho bệnh nhân.

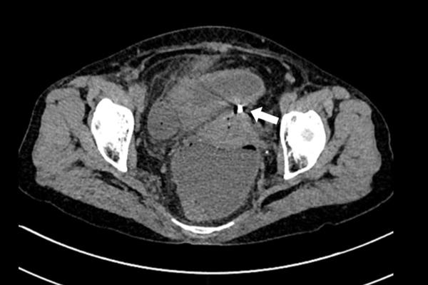
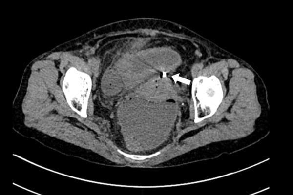
Hình ảnh chụp cho thấy dụng cụ tử cung xuyên qua thành tử cung vào ruột. Ảnh: Bệnh viện cung cấp
Bác sĩ Triệu Văn Trường, Phó trưởng Khoa Ngoại tổng hợp, Bệnh viện Bạch Mai cho biết bệnh nhân này đã đặt vòng tránh thai 30 năm. Gần đây, thấy ra dịch nhầy hồng âm đạo nên bà đến bệnh viện để tháo nhưng thất bại. Sau 4 ngày, bà đau hạ vị liên tục kèm nôn, ra dịch máu âm đạo, không trung tiện được, không sốt.
Khi vào viện, bệnh nhân có biểu hiện viêm phúc mạc như bụng chướng, ấn đau khắp bụng. Chụp cắt lớp vi tính thấy hình ảnh dịch khí tự do trong ổ bụng, tắc ruột cơ năng, dày thành ruột vị trí hố chậu phải và dị vật xuyên thủng đáy tử cung.
Các bác sĩ thực hiện ca mổ cấp cứu cho bệnh nhân, cắt tử cung bán phần, khâu lỗ thủng ruột non, rửa sạch ổ bụng. Tuy nhiên, sau mổ 6 ngày, bệnh nhân phải mổ lại lần thứ hai để đưa hai đầu ruột non ra ngoài tạm thời do bục lỗ khâu ruột non.
Quá trình hậu phẫu ổn định, người bệnh vừa được xuất viện sau mổ lần thứ hai mười ngày.
Theo bác sĩ Trường, dụng cụ tử cung, hay vòng tránh thai là phương pháp tránh thai phổ biến nhất trên thế giới. Có đến 14,3% phụ nữ trong độ tuổi sinh sản hiện đang sử dụng dụng cụ tử cung.
Tuy nhiên, dụng cụ này khi được đặt vào buồng tử cung cũng có thể gây ra một số biến chứng như đau, chảy máu bất thường, dụng cụ lạc chỗ gây thủng ruột non, thủng đại tràng hoặc thủng bàng quang.
Ngoài ra, biến chứng liên quan đến thủ thuật tháo vòng có thể gặp như: thủng tử cung, nhiễm trùng với tỉ lệ khoảng 1/1000 nhưng hậu quả rất nghiêm trọng. Tai biến này có thể kèm theo thủng ruột và bàng quang.
Bác sĩ Trường khuyên, với các chị em đặt vòng tránh thai, khi mãn kinh nên lấy vòng ra khỏi cơ thể để phòng tránh các biến chứng hoặc sau 5 năm nên tháo ra một lần.
Theo Người Lao Động
