Ngày 23/9, PGS.TS Phùng Nguyễn Thế Nguyên, Trưởng Đơn vị điều trị Covid-19, Bệnh viện Nhi đồng 1 (TP.HCM), cho biết đơn vị này vừa điều trị thành công một bệnh nhi mắc Covid-19 có diễn biến nặng.
Bệnh nhi là bé trai 13 tuổi, 48 kg, tiền sử khỏe mạnh, không bệnh nền. Bốn ngày đầu sau khi có xét nghiệm dương tính với SARS-CoV-2, em sốt nhẹ, ho khan. Sau đó, trẻ hết sốt nhưng ho nhiều, tức ngực, khó thở nên được đưa đến bệnh viện.
Sau khi được chuyển đến Bệnh viện Nhi đồng 1, các bác sĩ khoa Cấp cứu ghi nhận nhịp thở của bệnh nhi là 26-28 lần/phút, chỉ số này không quá nhanh so với trẻ 13 tuổi. Chỉ số SpO2 là 92%, đây là biểu hiện cho thấy tình trạng bé diễn biến nặng.
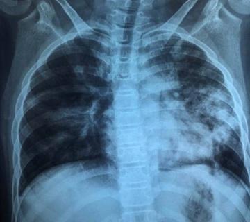
Dù triệu chứng bệnh không quá rầm rộ, kết quả X-quang khiến các y bác sĩ bất ngờ bởi phổi bé bị tổn thương nặng. Ngoài ra, các kết quả xét nghiệm cho thấy phản ứng viêm tăng cao, rối loạn đông máu.

Hình ảnh X-quang của bé lúc nhập viện, phổi tổn thương nặng. Ảnh: BSCC.
Bệnh nhi nhanh chóng được điều trị theo phác đồ viêm phổi nặng của Covid -19, hỗ trợ hô hấp, kháng sinh, steroid và thuốc chống đông.
"Đây là trường hợp trẻ khỏe mạnh, không yếu tố nguy cơ, không béo phì, triệu chứng không quá rầm rộ nhưng tổn thương phổi nặng và cần điều trị kéo dài", bác sĩ Nguyên nhận định.
Sau 5 ngày điều trị, tình trạng bệnh nhi cải thiện tốt, hết khó thở, giảm ho nhưng tổn thương phổi trên X-quang cải thiện chậm, SpO2 còn thấp (93-94%).
Sau 17 ngày điều trị theo phác đồ đồng thời theo dõi sát triệu chứng và oxy máu, bé trai khỏi bệnh hoàn toàn, tổn thương phổi cải thiện đáng kể, xét nghiệm rRT-PCR cho kết quả âm tính.
PGS.TS Phùng Nguyễn Thế Nguyên nhận định cho đến nay, trẻ em mắc SARS-CoV-2 phần lớn không triệu chứng hoặc biểu hiện nhẹ. Tuy nhiên, tình trạng nặng vẫn có thể gặp ở trẻ em ngay cả khi không có yếu tố nguy cơ.
"Những trường hợp này không thể điều trị tại nhà mà cần có sự can thiệp cấp cứu của nhân viên y tế", PGS Phùng Nguyễn Thế Nguyên nói.
Tính đến ngày 22/9, TP.HCM đang điều trị 3.731 trẻ dưới 16 tuổi mắc Covid-19. Tỷ lệ trẻ diễn tiến nặng nhỏ hơn 2%.
Trưởng Đơn vị điều trị Covid-19 của Bệnh viện Nhi đồng 1 khuyến cáo khi chăm sóc trẻ mắc Covid-19 tại nhà, phụ huynh cần theo dõi sát sức khỏe của bé.
Các triệu chứng cần đặc biệt lưu ý là trẻ khó thở, than mệt, gắng sức kém, vã mồ hôi nhiều, nói từng từ, từng câu ngắn, thở nhanh, gắng sức, nhịp tim nhanh hay SpO2 nhỏ hơn 93%.
Khi trẻ có các triệu chứng này, phụ huynh phải nhanh chóng đưa bé đến bệnh viện hoặc liên hệ ngay với Tổ phản ứng nhanh tại địa phương.
Theo Zing
