Sáng 13/5, TS.BS Nguyễn Văn Vĩnh Châu - Giám đốc Bệnh viện Bệnh Nhiệt đới TP.HCM cho biết tình trạng của bệnh nhân 91 (nam phi công người Anh, 43 tuổi) mắc Covid-19 nặng vẫn đang rất nguy kịch.
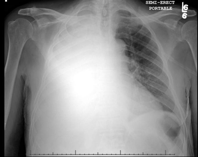
Theo kết quả CT Scan phổi mới nhất cho thấy phổi của bệnh nhân xơ hóa, đông đặc, chỉ còn khoảng 10% hoạt động. Giám đốc bệnh viện cho biết 2 phổi của nam phi công đều rơi vào tình trạng đông đặc, nếu tiếp tục kéo dài tình trạng này sẽ khiến phổi trở thành "ổ dịch" để vi khuẩn sinh sôi mạnh trong cơ thể của nam phi công.

X-quang hai lá phổi một bệnh nhân bị đông đặc. Phần bị hư hại màu trắng mờ, phần màu đen còn có thể hoạt động. Ảnh minh họa
Hiện tại, bệnh nhân không sốt, mạch và huyết áp ổn định. Bệnh viện có dùng thuốc vận mạch liều thấp và đang tiếp tục dẫn lưu màng phổi, lọc máu, bệnh nhân phụ thuộc hoàn toàn vào ECMO (tim phổi nhân tạo).
Trước đó, vào chiều qua 12/5, Bộ Y tế tiếp tục hội chẩn với các chuyên gia đầu ngành tại các bệnh viện lớn trong cả nước. Sau khi xem xét tình hình, các chuyên gia có chỉ định ghép phổi cho bệnh nhân 91- phi công người Anh. Tuy nhiên, trước khi ghép, bệnh viện phải có sự chuẩn bị tốt nhất, đó là bệnh nhân đã hoàn toàn sạch virus SARS-CoV-2, điều trị nhiễm trùng tích cực. Khi được khẳng định sạch virus, bệnh nhân sẽ chuyển sang Bệnh viện Chợ Rẫy để chuẩn bị ghép phổi.

Bộ Y tế tiếp tục hội chẩn 3 miền về việc ghép phổi cho phi công người Anh mắc Covid-19
Theo Sở Y tế TP HCM, tính đến nay, trên địa bàn TP có 53 trường hợp trong tổng số 55 ca mắc Covid-19 đã khỏi bệnh, xuất viện. TP đang tích cực điều trị cho 2/55 trường hợp còn lại (bệnh nhân 91 và 271) cùng một người (bệnh nhân 278) vừa chuyển từ Bệnh viện Đa khoa tỉnh Bạc Liêu đến Bệnh viện Bệnh Nhiệt đới TP chiều 10/5.
Nữ bệnh nhân 278 (50 tuổi) hiện tại đang tạm ổn định. Theo đó, đến thời điểm hiện tại, bệnh nhân đã hết sốt, còn ho, thở êm. Bệnh nhân tỉnh, tự sinh hoạt bình thường, mạch và huyết áp ổn định, tiếp tục thở Oxy mũi.
Tuy nhiên, kết quả X-Quang phổi tổn thương có tăng hơn so với phim trước, xét nghiệm SARS-CoV-2 vào ngày 12/5 vẫn còn dương tính.
MT
Theo Vietnamnet

