Ngày 23/5, Bệnh viện E thông tin về trường hợp hi hữu, bệnh viện phẫu thuật thành công lấy một dị vật sắc nhọn bằng kim loại ra khỏi mông trái một cô gái 23 tuổi, ở Hưng Yên.
Bệnh nhân chia sẻ, tai nạn hi hữu chính cô cũng không lường đến. Vào ngày cưới, cô được người lớn dặn thủ sẵn cây kim để phòng "thượng mã phong" trong đêm tân hôn, khi đó có công cụ để cứu chồng. Nghe lời, cô cũng cài một cây kim khâu vào gấu váy.

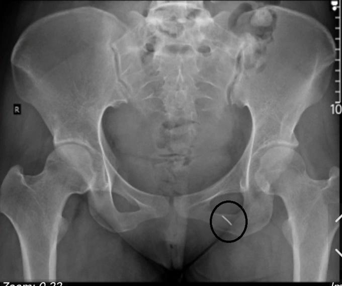
Hình ảnh chụp X-quang cho thấy kim nhọn đâm sâu trong cơ mông bệnh nhân (Ảnh: BS cung cấp).
Khi lên xe hoa, cô bỗng thấy nhói đau như có vật sắc nhọn đâm vào người. Chỉ nghĩ là đầu kim chọc vào cơ thể gây đau, cả hai vợ chồng đều không biết chiếc kim đã chui vào cơ thể cô gái.
Đến tối, khi vận động mạnh, cô gái thấy nhói đau. Lúc này nghĩ đến chiếc kim, hai vợ chồng vội đi viện để khám. Tại bệnh viện tuyến dưới, các bác sĩ có chích da nhưng không tìm thấy dị vật.
Sáng 22/5, cô gái được chồng đưa vào Bệnh viện E khám. BSCKII Kiều Quốc Hiền - Trưởng khoa Phẫu thuật Chấn thương chỉnh hình, Bệnh viện E cho biết, bệnh nhân nhập viện trong tình trạng đau buốt nhiều vùng mông trái, nhất là khi ngồi, khi vận động.
Khi khai thác tiền sử, cô gái cho biết nghĩ đến nguy cơ ngồi vào chiếc kim khâu may vá dài 5cm.
"Bệnh viện tuyến dưới đã chích da không tìm thấy kim. Trong khi bệnh nhân đang mang thai nên không thể tiếp xúc với tia X, mò dị vật là cây kim nhọn trong cơ thể là không tưởng. Vì thế, sau khi tham vấn các bác sĩ khoa Chẩn đoán hình ảnh (Bệnh viện E), người bệnh được mặc áo chì, chụp đúng phần mông trái để xác định chính xác người bệnh có bị dị vật đâm vào người hay không", BS Hiền thông tin
Khi xác định cây kim nằm sâu trong cơ mông của bệnh nhân, các bác sĩ đã sử dụng hệ thống máy siêu âm 3D, dễ dàng lấy dị vật sắc nhọn bằng kim loại cho người bệnh một cách nhanh chóng. Chỉ sau 5 phút, các bác sĩ đã lấy ra một chiếc kim khâu dài 5cm, chưa hoen rỉ nằm sâu trong cơ mông của người bệnh.

Chiếc kim khâu được lấy ra (Ảnh: BS cung cấp).
Theo BSCKII Kiều Quốc Hiền, đây là một ca bệnh không khó nhưng mức độ nguy hiểm lại nghiêm trọng. Vì cây kim nhọn khi chui vào cơ thể có thể di chuyển khắp nơi, thậm chí "tấn công" vào tim, phổi, ổ bụng… gây nên hậu quả nghiêm trọng.
Ngoài ra, người bệnh đang mang thai, việc chỉ định các phương tiện chẩn đoán như chụp chiếu là cẩn trọng, có thể gây ảnh hưởng đến thai nhi…

Bệnh nhân ổn định sau ca lấy dị vật (Ảnh: BS cung cấp).
BS Hiền khuyến cáo, nếu không may người bệnh bị dị vật sắc nhọn đâm xuyên và chui vào cơ thể như kim khâu, kim tiêm… thì cần đến ngay cơ sở y tế có đầy đủ trang thiết bị y tế hiện đại để xác định chính xác vị trí của dị vật và bác sĩ chuyên khoa giỏi phẫu thuật, can thiệp sớm giúp lấy dị vật đó ra một cách nhanh nhất, tránh những hậu quả đáng tiếc xảy ra.
Theo Dân trí
