Các bác sĩ tại bệnh viện thành phố Milan, Ý vừa tiếp nhận một bệnh nhân đặc biệt khi có một chiếc đồ chơi tình dục dài tới… 60cm mắc kẹt trong bộ phận sinh dục.
Đó là một người đàn ông 31 tuổi, vì ham muốn thử cảm giác lạ nên đã mua một chiếc dương vật bằng cao su có kích thước "khủng" ở trên mạng. Nhưng vì không có kinh nghiệm nên trong lần đầu tiên sử dụng đã gặp tai nạn không mong muốn.
Chiếc dương vật giả đã hoàn toàn chui lọt vào trực tràng của người đàn ông và rất khó để lấy ra. Chia sẻ với bác sĩ, người đàn ông 31 tuổi cho biết, trước khi cầu cứu bệnh bệnh viện, anh đã loay hoay tự cứu mình suốt 24 giờ nhưng không thành công. Rất may, ngoài việc đau bụng nhẹ chiếc dương vật giả không gây ra tổn thương quá mức cho đường ruột.

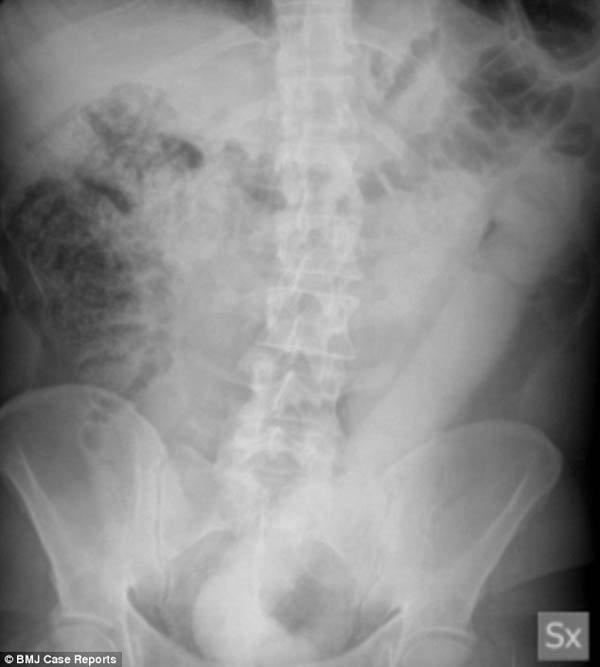
Chiếc dương vật giả dài 60cm nằm gọn trong đại tràng
Sau khi tiến hành xác định vị trí của dị vật, dù thử nhiều biện pháp khác nhau, các bác sĩ cũng gặp khó khăn khi rút nó ra vì kích cỡ quá lớn và bề mặt trơn tuột. Trong tình huống xấu nhất, có thể bệnh nhân sẽ phải tiến hành phẫu thuật để loại bỏ dị vật mắc kẹt. Tuy nhiên, sau một hồi thảo luận, nhóm bác sĩ đã bàn bạc và chế tạo một công cụ mới hoạt động như chiếc dây thòng lọng để kéo dị vật ra và đã thành công.
Tiến sĩ Dioscoridi người trực tiếp điều trị cho bệnh nhân cho biết: “Cuối cùng chúng tôi đã thành công trong việc cải tiến máy nội soi để có thể cài được chiếc dây chắc chắn vào mép của dương vật giả và kéo nó ra. Chiếc dây làm cho vật thể có thể tách khỏi đại tràng và được lôi ra một cách dễ dàng".

Chiếc dây móc được các bác sĩ tự chế để giải cứu bệnh nhân
Kỹ thuật mới này có thể là một sự lựa chọn sáng suốt để loại bỏ các vật thể lạ từ đại tràng và trực tràng khi các phương pháp tiêu chuẩn khác trở nên vô ích.
Được biết, người đàn ông 31 tuổi ở Ý không phải là người duy nhất gặp phải tình huống khó xử này. Vào năm ngoái, một người đàn ông Hoa Kỳ khi say xỉn đã làm thủng ruột của chính mình sau khi đút một dương vật giả dài 77cm vào hậu môn. Các bác sĩ ở Northern Lincolnshire và Goole NHS Foundation Trust đã tiết lộ rằng ông đã mất kiểm soát vì say rượu.
“Đồ chơi cho cửa sau”: có an toàn hay không?
Có một loạt các đồ chơi tình dục được thiết kế đặc biệt cho hậu môn của đàn ông và phụ nữ có sẵn trên thị trường bởi đó là nơi nhạy cảm hơn các vùng bình thường khác. Tất cả các vật thể quan hệ tình dục qua đường hậu môn luôn có bề mặt trơn nhẵn để giảm ma sát đồng thời được thiết kế phần đuôi to hơn thân để giúp nó không bị hút sâu vào bên trong khi các cơ co rút mạnh.
Những người từng trải nghiệm thứ “đồ chơi” này chịu nhiều nguy cơ xấu cho sức khỏe của họ. Trong một diễn đàn trực tuyến, các bác sĩ cảnh báo rằng thủ dâm hậu môn có nguy cơ cao làm tổn thương mô và thậm chí dẫn đến thủng đại tràng. Các bác sĩ khác cũng cảnh báo về chấn thương cơ vòng hậu môn dẫn đến tình trạng mất cảm giác và kiểm soát.
Tiến sĩ Michael Brady, giám đốc y tế tại Terrence Higgins Trust khuyến cáo: “Đồ chơi tình dục và các vật thể khác có thể là một phần an toàn và thú vị trong đời sống tình dục lành mạnh nhưng điều quan trọng là cách thức và tần suất sử dụng cũng như kích cỡ phù hợp với bản thân”.
Theo Vietnamnet
